Expert Dental Care in Thane – Your Local Dentist Near You
Serving Thane with 15+ years of trusted dental treatments – Implants, Braces, Root Canal & More
Achieve a Confident Smile
With Ratnagar Dental Clinic
Ratnagar Dental Clinic And Implant Centre excels in several key areas, with its highly competent doctors with strong credentials and an experience of 15 years.
A warm, patient-centered approach, use of modern technology, excellent hygiene, compassionate staff, and transparent communication would make you feel comfortable and confident in the care you receive at this clinic.
- Premium Dental Services You Can Trust
- Award-Winning Experts in Dental Care
- Dedicated Experts Behind Every Smile
- Advanced Dental Equipments
15
Years Of Experience
Achieve a Confident Smile
With Ratnagar Dental Clinic
Ratnagar Dental Clinic And Implant in Thane Centre excels in several key areas, with its highly competent doctors with strong credentials and an experience of 15 years.
A warm, patient-centered approach, use of modern technology, excellent hygiene, compassionate staff, and transparent communication would make you feel comfortable and confident in the care you receive at this clinic.
- Premium Dental Services You Can Trust
- Award-Winning Experts in Dental Care
- Dedicated Experts Behind Every Smile
- Advanced Dental Equipments
Meet Our Experts
Dr Sneha Sharma
B.D.S , M.D.S (Gold Medalist) General Dental Surgeon, Oral Physician and Maxillofacial Radiologist.
Dr. Ankit Sharma
MDS - Oral & Maxillofacial Surgeon
Fellowship in Maxillofacial Trauma
Happy Patients
Smile Makeover
Years of Experience
Awards
Why Choose Ratnagar Dental Clinic ?
- We have experienced top specialists hail from the best dental colleges who strive to provide you with excellent care
- We use best in class materials and equipments to take care of your precious teeth
- We work on appointment basis and value your time immensely
- Our staff will go the extra mile to provide you an effective, comfortable and memorable experience
- Stringent sterilisation and hygiene is followed in our practice
- On account of the above, we receive excellent reviews from our patients and we promise to continue this endeavour in the future
- Your satisfaction is our main goal and we leave no stone unturned to achieve it.
Ready for a Radiant Smile?
Click here to Book Your Appointment!
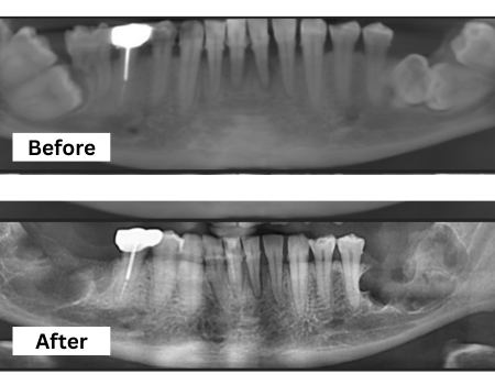
Our Success Stories
Proudly serving Thane families for over 15 years.
I personally know the doctor, she has knowledge par excellence and has a clean fresh ambience in the clinics.she is well experienced and has very good clinical skills. I definitely recommend you going to her for your dental problems
Best dental clinic in Thane, best treatment. Experienced doctors provide the best advice. I strongly recommend Ratnagar Dental Clinic for any dental problems, it’s the best place for every dental solution!
I had a very pleasant and painless experience, the doctors are highly knowledgeable, and give accurate diagnosis. I am currently undergoing a treatment under Dr. Sharma’s observation and I recommend Ratnagar Clinic.
Bhot acha clinic hain bhot ache doctors hain very helpful would suggest everyone seeking for a review it is the best dental clinic in thane
I have personally experienced Dr Ankit Sharma…he is one of the best MFS as far as treatment is concerned….very smooth & confident extraction done for my wisdom tooth which was little complicated as per the other doctors….hats off to his job….very modest Dr…truly appreciate the work done amd highly recommended for his treatment….
Very nice clinic
I am very happy with the flexible denture that was made for me! It’s a perfect fit! Dr.Sneha Sharma is very committed to her responsibilities towards patients! The doctor’s chamber is extremely cleanly maintained – looks like newly opened! Hope they continue to serve the patients with dedication!
Thank you doctor!
I had an excellent experience at Ratnagar Dental Clinic from start to end. Staff was friendly and cooperative. Dr. Sneha Sharma took the proper time to explain everything clearly, making sure I was comfortable and understood the treatment plan. The clinic is clean, modern, and well-equipped. The treatment was very good and I highly recommend this practice to anyone looking for a great dentist in Thane.
I got root canal done on two teeth here. Very competent doctor (Dr Sneha Sharma) and very cooperative support staff too. Highly recommended!
Expert & friendly … well mannered stuff … over all very good experience for my family













